Samsung Medison XGEO GC80 digitális röntgen készül
Ütközéselkerülő rendszer
Távirányító rendszer
Digitális flat-panel detektor
Digitális flat-panel detektor
Érintőképernyős vezérlés
Hat irányba állítható asztal
Samsung Medison XGEO GC80 digitális röntgen készül
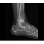
Klinikai esetek
Klinikai esetek 2.
Klinikai esetek 3.
Klinikai esetek 4.